What Is Igg Band . Many cases of lyme disease are initially misdiagnosed. For example, the 41 and 66 and the 93 kda bands. This particular marker is called 41 kd (igg) band and hence is a igg antibody. For example, if a patient has antibody directed against outer surface protein a (ospa) of bb, there will be a wb band at 31 kda. If your levels of igg,. An immunoglobulins test usually measures three specific types of immunoglobulins. They are called igg, igm, and iga. Lyme disease can be difficult to diagnose because. Testing positive on one to three bands on the igg western blot may not be significant at all. Igg is the most common type of antibody in your blood and other body fluids. Two types of antibodies are detected in the western blot test.
from archneur.jamanetwork.com
They are called igg, igm, and iga. Many cases of lyme disease are initially misdiagnosed. If your levels of igg,. For example, if a patient has antibody directed against outer surface protein a (ospa) of bb, there will be a wb band at 31 kda. An immunoglobulins test usually measures three specific types of immunoglobulins. For example, the 41 and 66 and the 93 kda bands. Igg is the most common type of antibody in your blood and other body fluids. Lyme disease can be difficult to diagnose because. Two types of antibodies are detected in the western blot test. Testing positive on one to three bands on the igg western blot may not be significant at all.
Cerebrospinal Fluid Oligoclonal IgG Bands in Patients With Spinal
What Is Igg Band For example, the 41 and 66 and the 93 kda bands. Lyme disease can be difficult to diagnose because. An immunoglobulins test usually measures three specific types of immunoglobulins. Two types of antibodies are detected in the western blot test. They are called igg, igm, and iga. Testing positive on one to three bands on the igg western blot may not be significant at all. This particular marker is called 41 kd (igg) band and hence is a igg antibody. Many cases of lyme disease are initially misdiagnosed. Igg is the most common type of antibody in your blood and other body fluids. If your levels of igg,. For example, if a patient has antibody directed against outer surface protein a (ospa) of bb, there will be a wb band at 31 kda. For example, the 41 and 66 and the 93 kda bands.
From fluidsbarrierscns.biomedcentral.com
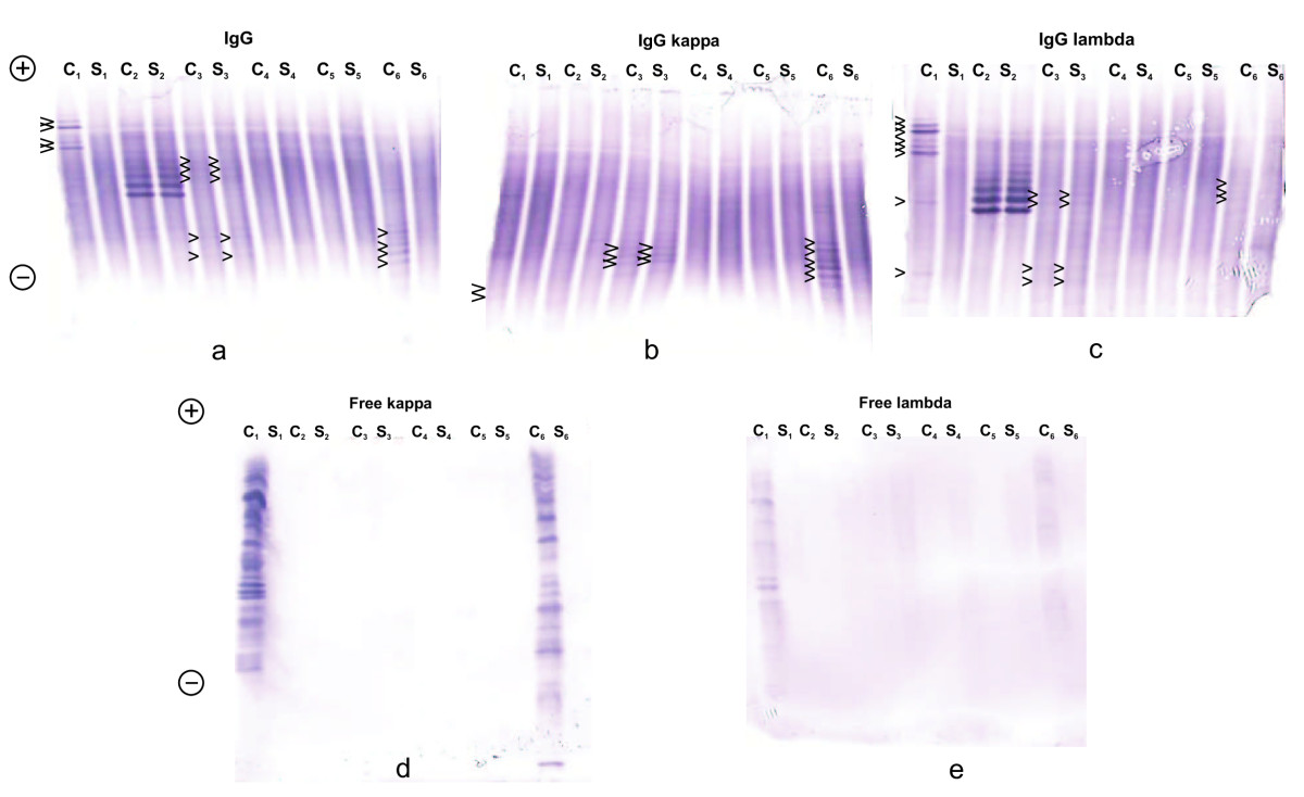
Detection of oligoclonal IgG kappa and IgG lambda bands in What Is Igg Band An immunoglobulins test usually measures three specific types of immunoglobulins. Igg is the most common type of antibody in your blood and other body fluids. For example, if a patient has antibody directed against outer surface protein a (ospa) of bb, there will be a wb band at 31 kda. Testing positive on one to three bands on the igg. What Is Igg Band.
From www.researchgate.net
Structure of IgG and of different IgG subclasses. a. IgG structure The What Is Igg Band Lyme disease can be difficult to diagnose because. This particular marker is called 41 kd (igg) band and hence is a igg antibody. They are called igg, igm, and iga. Many cases of lyme disease are initially misdiagnosed. Two types of antibodies are detected in the western blot test. An immunoglobulins test usually measures three specific types of immunoglobulins. If. What Is Igg Band.
From www.researchgate.net
Structural schematic of IgG. Note The typical IgG molecule consists of What Is Igg Band This particular marker is called 41 kd (igg) band and hence is a igg antibody. Many cases of lyme disease are initially misdiagnosed. They are called igg, igm, and iga. Testing positive on one to three bands on the igg western blot may not be significant at all. Igg is the most common type of antibody in your blood and. What Is Igg Band.
From www.researchgate.net
Phage peptides recognize specific CSF oligoclonal IgG bands in What Is Igg Band Two types of antibodies are detected in the western blot test. Igg is the most common type of antibody in your blood and other body fluids. If your levels of igg,. Testing positive on one to three bands on the igg western blot may not be significant at all. For example, if a patient has antibody directed against outer surface. What Is Igg Band.
From www.medicinare.nu
Vilken av följande formler används för att räkna ut IgGindex What Is Igg Band For example, the 41 and 66 and the 93 kda bands. They are called igg, igm, and iga. For example, if a patient has antibody directed against outer surface protein a (ospa) of bb, there will be a wb band at 31 kda. Lyme disease can be difficult to diagnose because. Two types of antibodies are detected in the western. What Is Igg Band.
From www.jacksonimmuno.com
Western blotting guide Part 6, Secondary Antibodies What Is Igg Band This particular marker is called 41 kd (igg) band and hence is a igg antibody. Two types of antibodies are detected in the western blot test. Lyme disease can be difficult to diagnose because. Many cases of lyme disease are initially misdiagnosed. They are called igg, igm, and iga. Testing positive on one to three bands on the igg western. What Is Igg Band.
From ldbiodiagnostics.com
Toxoplasma Western Blot IgG IgM LDBIO Diagnostics What Is Igg Band Igg is the most common type of antibody in your blood and other body fluids. They are called igg, igm, and iga. This particular marker is called 41 kd (igg) band and hence is a igg antibody. If your levels of igg,. For example, if a patient has antibody directed against outer surface protein a (ospa) of bb, there will. What Is Igg Band.
From www.youtube.com
The IgG Band Daydreaming (Official) YouTube What Is Igg Band An immunoglobulins test usually measures three specific types of immunoglobulins. If your levels of igg,. They are called igg, igm, and iga. Igg is the most common type of antibody in your blood and other body fluids. Testing positive on one to three bands on the igg western blot may not be significant at all. Two types of antibodies are. What Is Igg Band.
From link.springer.com
Detection of oligoclonal IgG kappa and IgG lambda bands in What Is Igg Band Igg is the most common type of antibody in your blood and other body fluids. Many cases of lyme disease are initially misdiagnosed. For example, the 41 and 66 and the 93 kda bands. If your levels of igg,. Two types of antibodies are detected in the western blot test. Lyme disease can be difficult to diagnose because. They are. What Is Igg Band.
From www.jocn-journal.com
Comparison of multiple sclerosis patients with and without oligoclonal What Is Igg Band Two types of antibodies are detected in the western blot test. For example, if a patient has antibody directed against outer surface protein a (ospa) of bb, there will be a wb band at 31 kda. For example, the 41 and 66 and the 93 kda bands. An immunoglobulins test usually measures three specific types of immunoglobulins. Testing positive on. What Is Igg Band.
From bpsbioscience.com
IgG Antibodies and Fcγ Receptors in Immunotherapy What Is Igg Band For example, if a patient has antibody directed against outer surface protein a (ospa) of bb, there will be a wb band at 31 kda. This particular marker is called 41 kd (igg) band and hence is a igg antibody. Testing positive on one to three bands on the igg western blot may not be significant at all. Many cases. What Is Igg Band.
From elispot.biz
What is igg kappa Types of Multiple Myeloma International Myeloma What Is Igg Band They are called igg, igm, and iga. An immunoglobulins test usually measures three specific types of immunoglobulins. For example, if a patient has antibody directed against outer surface protein a (ospa) of bb, there will be a wb band at 31 kda. If your levels of igg,. Lyme disease can be difficult to diagnose because. Testing positive on one to. What Is Igg Band.
From fluidsbarrierscns.biomedcentral.com
Detection of oligoclonal IgG kappa and IgG lambda bands in What Is Igg Band They are called igg, igm, and iga. Many cases of lyme disease are initially misdiagnosed. Testing positive on one to three bands on the igg western blot may not be significant at all. Two types of antibodies are detected in the western blot test. If your levels of igg,. An immunoglobulins test usually measures three specific types of immunoglobulins. For. What Is Igg Band.
From www.researchgate.net
SDSPAGE of normal rat IgG and IgM used to assess immunoglobulin uptake What Is Igg Band Lyme disease can be difficult to diagnose because. An immunoglobulins test usually measures three specific types of immunoglobulins. Many cases of lyme disease are initially misdiagnosed. For example, if a patient has antibody directed against outer surface protein a (ospa) of bb, there will be a wb band at 31 kda. If your levels of igg,. For example, the 41. What Is Igg Band.
From www.researchgate.net
True biclonal gammopathy with immunoglobulin (Ig)AkIgGλ monoclonal What Is Igg Band Two types of antibodies are detected in the western blot test. For example, if a patient has antibody directed against outer surface protein a (ospa) of bb, there will be a wb band at 31 kda. For example, the 41 and 66 and the 93 kda bands. Lyme disease can be difficult to diagnose because. Igg is the most common. What Is Igg Band.
From www.researchgate.net
Targets of cerebrospinal fluid oligoclonal IgG bands in multiple What Is Igg Band This particular marker is called 41 kd (igg) band and hence is a igg antibody. Igg is the most common type of antibody in your blood and other body fluids. They are called igg, igm, and iga. An immunoglobulins test usually measures three specific types of immunoglobulins. For example, if a patient has antibody directed against outer surface protein a. What Is Igg Band.
From www.semanticscholar.org
Figure 1 from Detection of oligoclonal IgG kappa and IgG lambda bands What Is Igg Band If your levels of igg,. This particular marker is called 41 kd (igg) band and hence is a igg antibody. An immunoglobulins test usually measures three specific types of immunoglobulins. Many cases of lyme disease are initially misdiagnosed. They are called igg, igm, and iga. Igg is the most common type of antibody in your blood and other body fluids.. What Is Igg Band.
From labpedia.net
Monoclonal Immunoglobulin (Ig), Monoclonal antibody, Immunofixation What Is Igg Band If your levels of igg,. Many cases of lyme disease are initially misdiagnosed. Lyme disease can be difficult to diagnose because. Two types of antibodies are detected in the western blot test. For example, if a patient has antibody directed against outer surface protein a (ospa) of bb, there will be a wb band at 31 kda. Igg is the. What Is Igg Band.